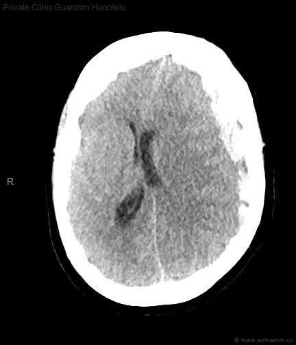
In der folgenden craniellen Computertomographie (CCT) findet sich ein(e):
0,1,0,0
Wählen Sie die richtige Antwort. Es ist nur 1 Antwort möglich:
Bitte wählen Sie.
Das subdurale Hämatom zeigt sich charakteristisch als zum Hirngewebe konkav verlaufende intrakranielle Blutung. Es handelt es sich um eine Blutung zwischen Dura mater und Arachnoidea. Pathophysiologisches Korrelat des Subduralhämatoms ist meist ein Riss der Brückenvenen, die die oberflächlichen Hirnvenen zu den Sinus durae matris drainieren. Bei dem akuten subduralen Hämatom kommt es innerhalb von wenigen Stunden zu einer Einblutung in den Subduralraum mit zunehmendem Druck auf das umgebende Gehirn und entsprechender neurologischer Symptomatik. Therapeutisch bleibt hier nur die sofortige Operation.