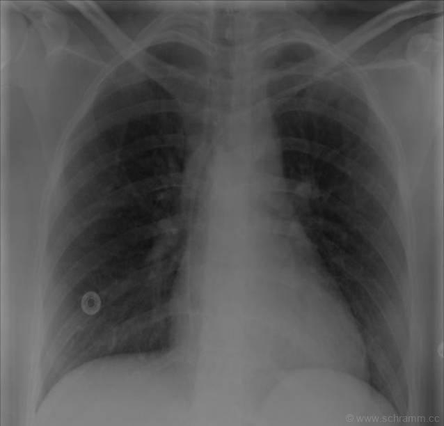
In diesem Thoraxröntgen zeigt sich ein zentraler Venenkatheter, welcher über die

Wählen Sie die richtige Antwort. Es ist nur 1 Antwort möglich:

Bitte wählen Sie.

• 

• Bitte um eine neue Frage

• Homepage