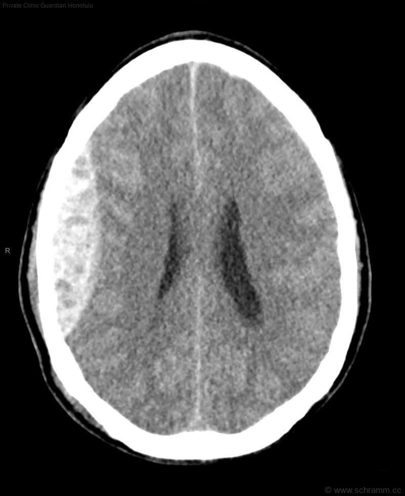
In der folgenden craniellen Computertomographie (CCT) findet sich ein(e):
1,0,0,0
Wählen Sie die richtige Antwort. Es ist nur 1 Antwort möglich:
Bitte wählen Sie.
Das epidurale Hämatom entsteht durch eine akute Blutung meist aus der A. meningea media zwischen Schädelknochen und Dura mater. Im diesem CCT zeigt sich eine bikonvexe, hyperdense, scharf begrenzte Raumforderung, als typischer Befund für ein epidurales Hämatom. Eine notfallmäßige neurochirurgische Eröffnung des Schädelknochens (Trepanation) ist i.d.R. bei einem epiduralen Hämatom indiziert.