Lungenemphysem
1,1,1,1,1,1,1,1,1,1
Wählen Sie die richtigen Antworten:
Als Lungenemphysem wird eine Zerstörung des Lungengewebes distal der Bronchioli terminales mit einer irreversiblen Überblähung der Alveolen bezeichnet.
Die häufigste Ursache des Lungenemphysems ist das inhalative Zigarettenrauchen (wie auch das Passivrauchen), das zur Entwicklung einer COPD führt, wobei zusätzlich eine genetische Disposition vermutet wird. Seltenere Ursachen sind exogene Noxen (Feinstaub, Smog), Virusinfektionen der Lunge und genetische Faktoren (z.B. Alpha-1-Antitrypsin-Mangel).
Eine chronische Entzündung (Bronchiolitis) führt zu einer Einengung der Atemwege. Speziell während der Exspiration kollabieren die Bronchioli terminales, wodurch die Luft nicht mehr aus den Alveolen entweichen kann, was letztlich zu einem Airtrapping und damit vebunden zu einem intrinsischen PEEP (AutoPEEP) führt. Die dadurch bedingte Überdehnung der Alveolen zerstört diese und lässt Emphysembläschen entstehen. Parallel dazu zerstören Proteasen das Lungenparenchym, was auch eine Rarefizierung der Blutgefäße zur Folge hat. Der sodann in der Inspirationsstellung fixierte Thorax führt letztlich zum Bild des Fassthorax.
Typische Symptome des Lungenemphysems sind: Dyspnoe (zu Beginn unter Belastung), Zyanose, chron. Husten
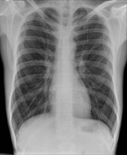
Typische Veränderungen im Thoraxröntgen (s. obiges Bild): Erhöhte Strahlentransparenz, abgeflachte Zwerchfellkuppeln, horizontal verlaufende Rippen, Erweiterung der Interkostalräume, Rarefizierung der Blutgefäße in der Peripherie
In der Lungenfunktion zeigt sich: Herabgesetzte Vitalkapazität, erhöhte funktionelle Residualkapazität, verminderte Einsekundenkapazität, erhöhtes Totraumvolumen, verminderte Diffusionskapazität, in der Blutgasanalyse: Hyperkapnie, Hypoxie
Vermeidung auslösender Noxen (Rauchstopp), Atemgymnastik, langwirksame Beta-2-Sympathomimetika (inhalativ), Anticholinergika (inhalativ), Kortikosteroide (inhalativ), Expektoranzien, Sauerstoff-Langzeittherapie (auch als Heimbehandlung), Impfung gegen Grippeviren und Pneumokokken
Bei Ausschöpfung aller konservativen Maßnahmen kann eine (endoskopische) Lungenvolumenreduktion (iatrogene Atelektasen, bzw. chir. Resektion überblähter Lungenanteile) bei einem ausgeprägten Lungenemphysem indiziert sein, in sehr schweren Fällen auch eine Lungentransplantation.
Eine Heilung ist nicht möglich. Konsequente Behandlung (v.a. Rauchstopp) kann aber das Fortschreiten der Erkrankung verlangsamen oder stoppen.
Mögliche Komplikationen sind: Pneumothorax, Rechtsherzinsuffizienz (gestaute Halsvenen, Beinödeme)
Bitte wählen Sie.
•
Dieser Link zeigt die richtigen Antworten an
•
Bitte um eine neue Frage
•
Homepage