Ischämischer zerebraler Insult
1,1,1,1,1,1,1
Wählen Sie die richtigen Antworten:
Der zerebrale Insult ist ein medizinischer Notfall und bedarf einer unverzüglichen, gezielten Therapie.
Ursachen des ischämischen zerebralen Insults sind z.B.: Zerebrale Makroangiopathie bzw. Mikroangiopathie, kardiale Emboliequellen (insbesondere Vorhofflimmern), zerebraler Vasospasmus nach einer Subarachnoidalblutung.
Die sogenannte „time-to-needle“ (Zeitspanne, innerhalb derer eine etwaige Lyse-Behandlung begonnen sein muss) liegt bei maximal 4.5 h nach Eintritt des Schlaganfalls. Vor einer rtPA-Lyse ist eine zerebrale Bildgebung zwingend erforderlich.
Patienten mit akuten embolischen Verschlüssen der proximalen zerebralen Arterien sollten in den ersten 6 h einer mechanischen Rekanalisierung durch intraarterielle neuroradiologische Intervention zugeführt werden.
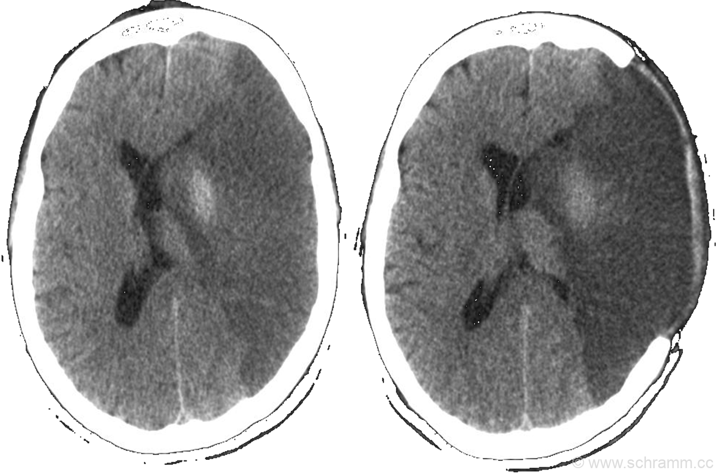
Patienten über 60 Jahre mit ausgedehnten Infarkten im Stromgebiet der A. cerebri media („Zwei-Drittel-Mediainfarkt“) profitieren von einer osteoklastische Trepanation innerhalb der ersten 48 – 72 h nach Symptombeginn.
Der Begriff Compliance C ist in der Physiologie ein Maß für die Dehnbarkeit von Körperstrukturen. Angewendet auf die intrakranielle Compliance gilt: C=(ΔV)/(ΔICP), wobei ICP der Hirndruck (Intra Cranial Pressure) und V das intrakranielle Volumen ist. Daraus folgt ΔICP=(ΔV)/C. Das bedeutet: Der Hirndruck ICP steigt an wenn das intrakranielle Volumen V (bedingt durch den Mediainfarkt) zunimmt und/oder die intrakranielle Compliance abnimmt.
Eine Erhöhung der intrakraniellen Compliance und damit ein absenken des ICP kann mit einer osteoklastischen Trepanation erreicht werden.
Bitte wählen Sie.
•
Dieser Link zeigt die richtigen Antworten an
•
Bitte um eine neue Frage
•
Homepage