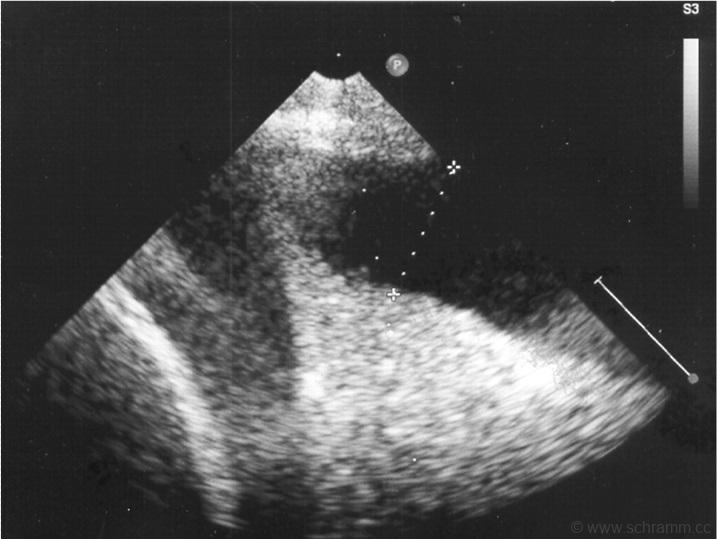
Ultraschallbild des Thorax eines Erwachsenen:
1,1,0,1,1,1,1
Wählen Sie die richtigen Antworten:
Zeigt einen Pleuraerguss, denn bei einem gesunden erwachsenen Menschen sind die Pleurahöhlen mit jeweils maximal etwa 5-10 ml Flüssigkeit gefüllt.
Es befindet sich Flüssigkeit zwischen der Pleura parietalis und der Pleura visveralis.
Dies ist ein Normalbefund.
Die Ursache dafür könnte eine Hypalbuminämie (mit der Folge eines erniedrigten onkotischen Drucks) sein, etwa bei einem nephrotischen Syndrom.
Die Ursache könnte ein Transsudat als Folge einer Herzinsuffizienz sein.
Die Ursache könnte entzündlich-infektiös sein, die Flüssigkeit wäre demnach ein Exsudat (Pleuritis exsudativa).
Bei größeren Pleuraergüssen (über circa 1 Liter beim erwachsenen Menschen) besteht die Therapie i.d.R. in einer Entlastung durch Entleerung des Pleuraraums mittels Pleurapunktion.
Bitte wählen Sie.
•
Dieser Link zeigt die richtigen Antworten an
•
Bitte um eine neue Frage
•
Homepage